犬 前十字靭帯断裂に対するTPLO
当院では前十字靭帯断裂の手術としてTPLO(脛骨高平部水平化骨切り術)をおこなっています。
この術式は従来の前十字靭帯断裂に対する手術に比べて、合併症が少なく、機能回復も非常に良い術式です。
早い子は術後数日で歩行可能、数週間で普通のスピードの散歩なら問題なく可能になります。
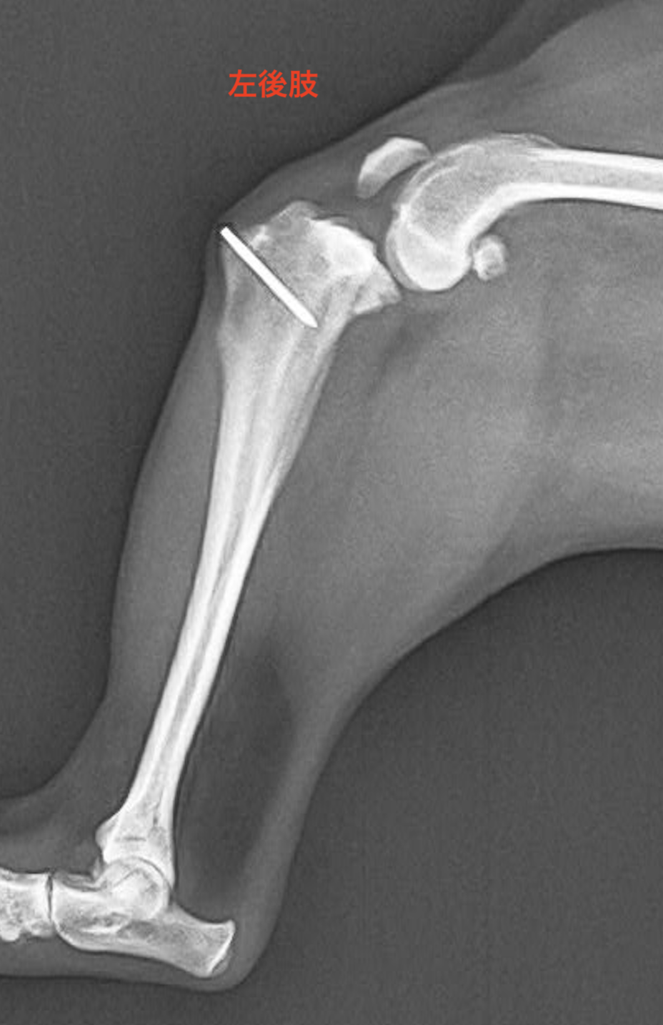
5歳チワワ
3年前に他院にてパテラのope済み
2.3日前から左後肢痛がる、着かないで歩いているとのことで来院されました。
各種検査から前十字靭帯断裂として手術を行いました。
術後1週間程度で問題なく歩けるようになりました。

